Ὁ ἀπεικονιζόμενος κύριος δὲν εἶναι γνωστὸς στὸ εὐρὺ κοινό. Τὸ ὄνομά του ὅμως εἶναι σίγουρα γνωστὸ στοὺς ἀσθενεῖς τῶν ὑπολοίπων εἰκόνων.
Εἶναι ὁ Dr. Hakaru Hashimoto (ἐξ Ἰαπωνίας ὁρμώμενος) καὶ ἔχει τὴν πατρότητα περιγραφῆς (1912) τῆς ὁμώνυμης νόσου (Θυρεοειδῖτις Hashimoto).
Ἡ νόσος προσβάλλει κυρίως γυναῖκες, ἡλικίας 30-55 ἐτῶν, μὲ πρῶτο ἐνδεχομένως σύμπτωμα τὴν εὔκολη κόπωση. Στὴν πορεία θὰ δοῦμε ὑπνηλία, ἀδιαφορία, πρόσληψη βάρους, προπέτεια στὸν λαιμό, νεῦρα χωρὶς λόγο, εὔκολη συγκίνηση (θυμός, λύπη, πανικός).
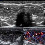
Ἡ διάγνωση τίθεται κυρίως ἐργαστηριακά. Τὸ ὑπερηχογράφημα δείχνει ἀνομοιογενῶς ὑπόηχη παρεγχυματικὴ ὑφή καὶ πλούσια ἀγγείωση. Στὰ μικροβιολογικὰ περιμένουμε αὔξηση τῆς TSH (ὑποθυρεοειδισμός) καὶ τῶν ἀντισωμάτων (Anti-Tg, anti TPO).
Θεωρεῖται αὐτοάνοσο νόσημα, μὲ ἔντονα οἰκογενῆ χαρακτῆρα (πολλὰ κρούσματα ἐντὸς τῆς ἴδιας οἰκογένειας).
Ἡ θεραπεία ἀνατίθεται στὸν ἐνδοκρινολόγο!!





