Εἶναι δεδομένο ὅ, τι στὴν Ἰατρικὴ δὲν μπορεῖς νὰ πλήξεις ποτέ, διότι «εὐτυχῶς» ὑπάρχουν καὶ σπάνιες περιπτώσεις, ποὺ σὲ ἀναγκάζουν νὰ ἀκονίζεις τὴν διαγνωστικὴ σκέψη σου!!
Πρόσφατα μᾶς ἐπισκέφθηκε ἀσθενὴς, γυναῖκα, ἠλικίας 46 ἐτῶν, παραπονούμενη ὅτι κατὰ τὴν διάρκεια τοῦ τελευταίου μηνὸς, ἄρχισε νὰ ἀντιλαμβάνεται ἀνώδυνο οἴδημα στὴν γωνία τῆς κάτω γνάθου, τὸ ὁποῖο ἔβαινε προοδευτικῶς ἐπιδεινούμενο, ἀπὸ ἑβδομάδος δὲ, ἐγκαταστάθηκε εὐαισθησία καὶ ἥπιο ἄλγος στὴν ἴδια περιοχὴ, γεγονὸς ποὺ τῆς ἐφαίνετο παράδοξο, δεδομένου ὅτι πρὸ ὀλίγων ἐτῶν εἶχε γίνει ἐξαγωγὴ τῶν γομφίων καὶ προγομφίων ΑΡ κάτω. Δὲν εἶχε ἐπισκεφθεῖ ὀδοντίατρο, προσῆλθε ὅμως στὸ ἐργαστήριο μὲ αἴτημα, νὰ διενεργηθεῖ πρῶτα πανοραμικὴ ἀκτινογραφία, προκειμένου σὲ δεύτερο χρόνο νὰ εἶναι ἕτοιμη πρὸς ἐπίσκεψη στὸν ὀδοντίατρό της.
Ἡ πανοραμικὴ ἀκτινογραφία τὴν ὁποῖα διενεργήσαμε (εἰκ. 1), ἔδειξε, πλησίον τῆς γωνίας τῆς κάτω γνάθου ΑΡ, κυστικὸ μόρφωμα, μὲ σαφῆ ὅρια (ἐξαιρουμένης μόνον τῆς ἔξω παρυφῆς του πρὸς τὸν σύστοιχο κλάδο τῆς κάτω γνάθου), ὅπου ὑπῆρχε μόλις ὑποσημαινόμενη ἀσαφοποίηση, ἡ δὲ παρυφὴ τοῦ κυστικοῦ μορφώματος ἐδῶ προσελάμβανε τὴν μορφὴ δίκην «γιρλάντας», τὸ δὲ ἐνδοκυστικὸ μέρος τοῦ τοιχώματος, κατὰ τὴν ἔξω καὶ κάτω παρυφὴ του, ἐνεφάνιζε ἀνώμαλες ὀστικὲς προσεκβολές, ἐναλασσόμενες μὲ διαυγαστικὲς μικρὲς ἑστίες, εἰκόνα προσομοιάζουσα μὲ τὴν ἀντίστοιχη δίκην «μελισσοκηρήθρας ἢ μωσαϊκοῦ». Στὸ κυστικὸ μόρφωμα δὲν ἐνυπῆρχαν ἔγκλειστοι ὀδόντες. Ἡ διαφορικὴ διάγνωση δὲν ἦταν εὔκολη γιὰ ἐμᾶς, διότι ἔπρεπε νὰ ἀναφέρουμε σειρὰ παθήσεων ποὺ προκαλοῦν παρόμοια ἀκτινολογικὰ εὑρήματα. Συμπεριλάβαμε λοιπὸν πέραν τοῦ ἀμελοβλαστώματος, τὴν μονοοστικὴ ἰνώδη δυσπλασία, τὴν θυλακιώδη κύστη, τὴν κερατινοκύστη, τὸ ὀδοντογενὲς μύξωμα καὶ τὸ ἠωσινόφιλο κοκκίωμα.
Στὴν ἀσθενῆ ἐξηγήσαμε τὴν ἀναγκαιότητα ἐπισκέψεως σὲ γναθοχειρουργό πρὸς περαιτέρω ἔλεγχο καὶ θεραπεία.
Πρὸ ὀλίγων ἡμερῶν μᾶς ἐπισκέφθηκε ὁ σύζυγος τῆς ἀσθενοῦς, ὁποῖος μᾶς ἐνεχείρησε ἀντίγραφο τῆς βιοψίας, ποὺ ἀνέφερε ὅ,τι ἐπρόκειτο περὶ ἀμελοβλαστώματος, μᾶς πληροφόρησε δὲ ὅ,τι ἡ σύζυγός του ἀναρρωνύει ὕστερα ἀπὸ τὴν ἐγχείρηση στὴν ὁποία ὑπεβλήθη διὰ τὴν ἀφαίρεση τοῦ ἀμελοβλαστώματος καὶ ὅτι ἔγινε ἀνασυγκρότηση τῆς κάτω γνάθου μὲ τοποθέτηση προθἐσεως ἀπὸ εἰδικὸ κεραμικὸ ὑλικό.
Τὸ ἀμελοβλάστωμα εἶναι καλοήθης ὄγκος, προερχόμενος ἀπὸ τὰ κυτταρικὰ στοιχεῖα τῆς καταβολῆς τῆς ἀδαμαντίνης οὐσίας (smalto), γι αὐτὸ κατατάσσεται στὴν ὁμάδα τῶν ὀδοντογενῶν νεοπλασμάτων . Ἀποτελεῖ τὴν σύγχρονη ὀνομασία τοῦ ἀδαμαντινώματος, εἶναι ἐκ τῶν σπανιοτέρων νεοπλασμάτων τοῦ ἀνθρώπου, ἀντίθετα ὅμως ἀποτελεῖ τὸ συχνότερο νεόπλασμα τῆς ὁμάδος τῶν ὀδοντογενῶν νεοπλασμάτων (15%). Τὰ ἀδαμαντινώματα εἶναι γνωστὰ ἀπὸ τὸ 1827 (Cusack, πρώτη περιγραφή, Δουβλῖνο). Μολονότι ἔχουν περιγραφεῖ καὶ σὲ παιδιά, συνήθως ἐμφανίζονται κατὰ τὴν 3η-5η δεκαετία τῆς ζωῆς, χωρὶς ἰδιαίτερη διαφορὰ ὡς πρὸς τὸ φῦλο, ἐνῶ εἶναι συχνότερο σὲ φυλὲς τῆς Ἀφρικῆς καὶ στὴν Κορεατικὴ χερσόνησο. Τὸ 80% περίπου τῶν περιπτώσεων ἀμελοβλαστώματος ἐντοπίζεται στὴν κάτω γνάθο, ἰδιαίτερα στὶς γωνίες (περιοχὴ τῶν γομφίων).
Ἡ αἰτιολογία εἶναι ἄγνωστος, ὡστόσο ἔχουν ἐνοχοποιηθεῖ λοιμώξεις τῆς περιοχῆς, ἐξαγωγὴ ὀδόντων, κακώσεις τῶν γνάθων καὶ τῶν ὀδόντων, ἀκόμη καὶ διατροφικοὶ παράγοντες.
Τὰ ἀδαμαντινώματα ἀναπτύσσονται βραδέως, χωρὶς ἢ μὲ ἐλάχιστα συμπτώματα, γι’ αὐτὸ καὶ ἡ διάγνωση τοῦ ἀμελοβλαστώματος γίνεται συχνὰ ἀργὰ ἢ τυχαία. Ἀρχικὰ ἀναφέρεται εὐαισθησία ἢ ἥπιος πόνος, αἴσθημα διατάσεως τῆς γνάθου, οἴδημα τῶν μαλακῶν μορίων, ἀργότερα δὲ μπορεῖ νὰ ἐμφανισθοῦν δυσμορφίες, ὅπως κινητικότητα καὶ παρεκτοπίσεις ὀδόντων.
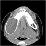
Ἡ διάγνωση σὲ ἀρχικὸ στάδιο θὰ προσεγγισθεῖ μέσω πανοραμικῆς ἀκτινογραφίας (εἰκ. 1) καὶ CT (ἡ εἰκ.2 ἔχει ληφθεῖ ἀπὸ τὴν βιβλιογραφία), ἐνῶ ἡ τελικὴ διάγνωση τίθεται μόνον διὰ τῆς βιοψίας. Ἡ θεραπεία εἶναι μόνον χειρουργικὴ καὶ συνίσταται στὴν ἐκτομὴ τοῦ ὄγκου καὶ ταυτόχρονη (ἀναλόγως τῆς θέσεως καὶ ἐπεκτάσεως τοῦ νεοπλάσματος) ἀνακατασκευὴ τῆς γνάθου, μὲ τοποθέτηση εἰδικῆς προθέσεως, συνήθως ἀπὸ κεραμικὸ ὑλικὸ.
Ὡς πρὸς τὴν πρόγνωση, τὰ ἀμελοβλαστώματα χαρακτηρίζονται ἀπὸ ἰσχυρὴ τάση ὑποτροπῶν μετὰ τὴν χειρουργικὴ ἀφαίρεση, γι’ αὐτὸ ἐπιβάλλεται συχνὸς μετεγχειρητικὸς ἔλεγχος. Μεταστάσεις παρατηροῦνται σπάνια, ἄν ἐμφανισθοῦν δὲ αὐτὸ γίνεται συνήθως στοὺς πνεύμονες

