Βασικά, ὁ βήχας εἶναι ἕνας σημαντικὸς προστατευτικὸς μηχανισμός: Ὅποιος βήχει διώχνει ἀέρα μὲ ταχύτητα ἕως καί 480 χιλιόμετρα τὴν ὥρα γιὰ νὰ ἀφαιρέσει τὴν βλέννα, τὴν σκόνη καί ἄλλα ξένα σώματα ἀπὸ τὴν ἀναπνευστικὴ ὁδό. Ὡστόσο ὁ βήχας μπορεῖ ἐπίσης νὰ εἶναι σύμπτωμα ἀσθενειῶν ὅπως τὸ κοινὸ κρυολόγημα, ἡ βρογχίτιδα ἢ τὸ ἄσθμα (εἰκ.1).
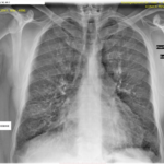
Ὅταν ἕνας βήχας καθίσταται συνεχής, τότε καταστρέφει τὴν καθημερινότητα τοῦ ἀσθενοῦς καὶ αὐτὸς ἦταν ὁ λόγος διὰ τὸν ὁποῖο προσῆλθε στὸ Ἐργαστήριό μας ὁ ἀσθενὴς (εἰκ. 2) ἡλικίας τὸτε (2015) 53 ἐτῶν, χρόνιος καπνιστής καὶ ἐπαγγέλματος ὑπάλληλος γραφείου. Ὅταν προσῆλθε στὸ Ἐργαστήριο, εἶχε βήχα γιὰ πάνω ἀπὸ 10 χρόνια, τὸν ἀπέδιδε δὲ στὸ κάπνισμα, <<τσιγαρόβηχα>> τὸν ἀποκαλοῦσε. Μολονότι παραδέχθηκε ὅτι ὁ βήχας μερικὲς φορὲς ἦταν τόσο ἐπίμονος, σὲ σημεῖο νὰ τὸν ἀπομονώνει κοινωνικά, δημιουργώντας σκέψεις ὅτι πάσχει ἀπὸ κατάθλιψη, «πρέπει νὰ ζεῖς μὲ τὸ γεγονὸς ὅτι κανεὶς δὲν σὲ πιστεύει» εἶπε, ὡστόσο δίσταζε νὰ ἐπισκεφτεῖ γιατρό, ὅμως αὐτὴ τὴν φορά τὸ ἀποτόλμησε, ὅταν τοῦ συνέβη αὐτὸ ποὺ δείχνει ἡ εἰκόνα (εἰκ. 3), δηλ. αἰμόπτυση. Καὶ πάλι ὅμως ἔψαχνε δικαιολογίες, ὅπως ἐπίσκεψη σὲ ὀδοντογιατρὸ τὴν περασμένη ἑβδομάδα… Τέλος ἀνέφερε ὅτι παθαίνει συχνὰ κρυολογήματα μετὰ ρινικοῦ κατάρρου (τὰ διπλάσια σὲ συχνότητα ἀπὸ τὰ ὑπόλοιπα μέλη τῆς οἰκογένειάς του).
Ἡ ἀκτινογραφία θώρακος (εἰκ.2) ἔδειξε στοιχεῖα διαμέσου πνευμονικῆς ἰνώσεως (δικτυοοζώδης σκίαση) ἐντοπιζομένης κυρίως στὰ μέσα καὶ κατώτερα πνευμονικά πεδία ὑπὸ τὴν ἔννοιαν τῆς παρουσίας περιβρογχικῶν καὶ περιαγγειακῶν ἰνώσεων. Τοῦ συνέστησα περαιτέρω κλινικοεργαστηριακὸ ἔλεγχο. Μετὰ τρίμηνο ὁ ἀσθενὴς ἐπανῆλθε προσκομίζοντας τὴν τελικὴ διάγνωση τοῦ Νοσοκομείου Νοσημάτων Θώρακος << Σωτηρία>> καὶ ἡ ὁποῖα ἦταν ἰδιοπαθὴς πνευμονικὴ αἱμοσιδήρωση.Ὁ ἀσθενὴς μᾶς ἐπεσκέφθη ἔκτοτε ἄλλες δύο φορὲς τὸ 2018 (εἰκ.4) καὶ τὸ 2021 (εἰκ. 5), φαινεται δὲ ὅτι ἡ παθολογικὴ ἀκτινολογικὴ εἰκόνα ἐκ τῶν πνευμόνων δὲν ἔχει οὐσιωδῶς μεταβληθεῖ.
Ἡ ἰδιοπαθὴς πνευμονικὴ αἱμοσιδήρωση
γνωστὴ καὶ ὡς νόσος τοῦ Ceelen, εἶναι ἕνα σπάνιο σύνδρομο κυψελιδικῆς αἱμορραγίας ἀγνώστου αἰτιολογίας, τὸ ὁποῖο χαρακτηρίζεται ἀπὸ τὴν τριάδα τῆς σιδηροπενικῆς ἀναιμίας, τῆς αἱμόπτυσης καὶ πνευμονικῆς διαμέσου ἰνώσεως.Ἤδη ἀπὸ τὸ 1864 ὁ Virchow περιέγραψε τὴν εἰκόνα μιᾶς «καφεοειδοῦς πνευμονικῆς διήθησης». Ἕνας περαιτέρω χαρακτηρισμὸς ἀκολούθησε ἀργότερα ἀπὸ τοὺς Ceelen (1931) καὶ Waldenstrom (1944). Δεδομένου ὅτι ἡ κυψελιδικὴ αἱμορραγία μπορεῖ νὰ προκληθεῖ ἀπὸ πολυάριθμες ἀσθένειες, ἡ ἰδιοπαθὴς πνευμονικὴ αἱμοσιδήρωση (IPH) ἀποτελεῖ διάγνωση ἐξ ἀποκλεισμοῦ ἄλλων αἰτίων κυψελιδικῆς αἱμορραγίας. Ἡ πορεία καὶ ἡ πρόγνωση τῆς IPH ποικίλλουν σημαντικά καὶ ἐξαρτῶνται σὲ μεγάλο βαθμὸ ἀπὸ τὴν ἔγκαιρη διάγνωση καὶ τὴν ἀνταπόκριση στὴν ἀνοσοκατασταλτικὴ θεραπεία. Στόχος αὐτῆς τῆς θεραπείας εἶναι νὰ ἀποφευχθοῦν οἱ ὑποτροπές καὶ ἡ ἀνάπτυξη πνευμονικῆς ἴνωσης.
Αἰτιοπαθογένεση: Αἰτιολογία δὲν ἔχει ἀκόμη διευκρινιστεῖ. Σὲ μεμονωμένες περιπτώσεις, ἡ ἀσθένεια τείνει νὰ ἐμφανίζεται σὲ οἰκογένειες, ἔτσι ὥστε νὰ μπορεῖ νὰ ὑποτεθεῖ μία γενετικὴ ἀνωμαλία κατασκευῆς τοῦ κυψελιδικοῦ τριχοειδικοῦ ἐνδοθηλίου, πιθανὸν αὐτοάνοσης βλάβης σὲ μεμονωμένες περιπτώσεις. Ἔχουν ἐπίσης περιγραφεῖ περιπτώσεις στὶς ὁποῖες ἡ ἀσθένεια ἐμφανίστηκε μετὰ ἀπὸ τραῦμα εἰσπνοῆς (π.χ. ἐντομοκτόνο) ἢ μετὰ ἀπὸ ἰογενῆ λοίμωξη. Πιστεύεται ἐπίσης ὅτι σχετίζεται μὲ κοιλιοκάκη. Σὲ πολλὲς περιπτώσεις, ἰδιαίτερα σὲ παιδιά, ὑπάρχει καὶ δυσανεξία στὸ ἀγελαδινὸ γάλα.
Ἐπιδημιολογία: Σπάνια νόσος συνήθως ἐκδηλούμενη στὴν 3η ἢ 4η δεκαετία τῆς ζωής, προσβάλλει ἐξίσου ἄνδρες καὶ γυναῖκες.
Συμπτώματα:Χρόνιος βήχας ξηρός, μὴ παραγωγικός, δύσπνοια (ἀρχικὰ κατὰ τὴν διάρκεια σωματικῆς δραστηριότητος), κόπωση (περιορισμένη ἀπόδοση), σταδιακὴ ἀπώλεια βάρους, περιορισμὸς στὴν ἀνάπτυξη τῶν παιδιῶν, πόνοι μυῶν καὶ ἀρθρώσεων, αἱμόπτυση, ὠχρότης δέρματος, δάκτυλα δίκην πλήκτρου τυμπάνου (διεύρυνση καὶ στρογγυλοποίηση τῶν ἄκρων τῶν δακτύλων τῶν χειρῶν καὶ τῶν ποδῶν).
Διάγνωση: Βασίζεται στὴν ἀξιολόγηση τοῦ ἱστορικοῦ καὶ τῆς κλινικῆς ἐξετάσεως ἰδία κατὰ τὴν διάρκεια ὀξέων ἐπεισοδίων τῆς νόσου, ὅπου ὁ γιατρὸς στὴν ἀκρόαση μπορεῖ ν’ ἀκούσει ἕνα λεπτὸ κροτάλισμα ἢ κουδούνισμα στὸ τέλος τῆς εἰσπνοῆς. Ὁ ἔλεγχος τῆς πνευμονικῆς λειτουργίας δείχνει περιοριστικὴ ἀναπνευστικὴ διαταραχὴ κατὰ τὴν διάρκεια ἑνός ὀξέος ἐπεισοδίου τῆς νόσου. Ὁ αἱματολογικὸς ἔλεγχος ἀποκαλύπτει σιδηροπενικὴ ἀναιμία. Στὰ ἀκτινολογικὰ εὑρήματα ἑνὸς ὀξέος δυσπνοϊκοῦ ἐπεισοδίου διακρίνει κανεὶς αὔξηση τῆς πνευμονικῆς σκιερότητος στὸ ἐπίπεδο τῶν βρογχιολίων –κυψελίδων ἄνοδο τῶν διαφραγμάτων, σὲ χρόνια δὲ διαδρομὴ τῆς νόσου διακρίνεται δικτυοοζώδης εἰκόνα τοῦ πνευμονικοῦ παρεγχύματος λόγω ἀναπτύξεως διαμέσου πνευμονικῆς ἰνώσεως, διεύρυνση τῶν πνευμονικῶν πυλῶν καὶ μεγαλοκαρδία ἐκ τῆς συνυπαρχούσης πνευμονικῆς ὑπερτάσεως. Ἡ τελικὴ διάγνωση τίθεται μὲ τὴν βρογχοσκόπηση, βρογχοκυψελιδικὴ ἔκπλυση καὶ βιοψία.
Θεραπεία: Βασίζεται στὴν χορήγηση ἀνοσοκατασταλτικῶν.
Πρόγνωση: Κατὰ κανόνα καλή, μόνον σὲ σπάνιες περιπτώσεις ἡ ὑπερβολικὴ αἱμορραγία κατὰ τὴν διάρκεια ἑνὸς ὀξέος ἐπεισοδίου ὁδηγεῖ στὸν θάνατο.




